Our Services
Expert dental care to brighten your smile and boost your confidence.


Root Canal Treatment
Removes infected pulp, relieves pain, saves natural tooth, restores function and comfort.


Dental Implant
Permanent tooth replacement solution restoring function and confidence with natural results.




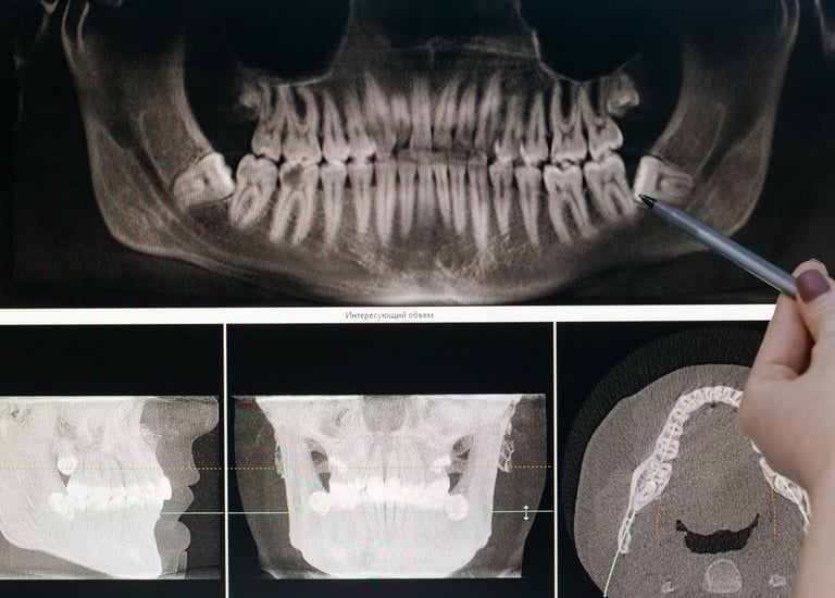
Rvg(X-Ray)
Digital dental X-ray providing instant images with minimal radiation and accurate diagnosis.
Orthodontic Treatment
Corrects misaligned teeth and jaws for improved bite, function, and a confident smile.


Light Cure Filings
Tooth-colored fillings hardened with light, restoring strength and function.


Gum Diseases Treatment
Treats infected gums, reduces inflammation, prevents bone loss, and restores oral health.




Crown & Bridges
Custom-made restorations replacing damaged or missing teeth.
Ultrasonic Scaling
Removes plaque and tartar gently using vibrations, promoting cleaner, healthier gums.


Dentures
Custom removable replacements restoring missing teeth, improving chewing and speech.


Children's Dental Care
Gentle preventive and restorative care ensuring healthy teeth and positive dental experiences.




Bleaching/Whitening
Professional treatment brightening teeth safely, removing stains and enhancing the smile.
Dental Veneers
Thin custom shells improving tooth shape, colour, alignment, and overall smile aesthetics.
